Introduction
Gastrointestinal Physiology looks at the functioning of the Gastro-Intestinal (GI) system. The four basic functions of the GI system are digestion, absorption, motility and secretion. Digestion describes how ingested food is broken down into smaller biochemical components; absorption how the products of digestion are absorbed into the body; motility how food and waste products are moved from mouth to anus; and secretion how digestive juices etc. are controlled and secreted. About 9 liters of fluid pass through the GI system every day, and of these only two are taken by mouth, the rest represents secretions by the system itself.
The whole is under the control of the hormonal and nervous systems, although the GI system has it's own autonomous nervous system, the enteric nervous system.
The digestive system is the body's major interface with the out side world, and as such it is richly supplied with immune cells, indeed by some estimates 80% of the bodies immune cells are in the GI tract.
- Anatomy
- Principles of GI function
- Motility
- Secretions
- Digestion & Absorption
- Clinical Physiology
The Liver & Portal System

Pancreas
The Large Intestine
Regulation of GI Functions
Autonomic Nervous System
Enteric Nervous System
GI Hormones
Paracrines
Clinical Physiology
Esophageal Reflux
Gastroesophageal reflux disease (GERD), Gastro-oesophageal reflux disease (GORD), Gastric reflux disease, or Acid reflux disease is defined as chronic symptoms or mucosal damage produced by the abnormal reflux in the esophagus.[1]
This is commonly due to transient or permanent changes in the barrier between the esophagus and the stomach. This can be due to incompetence of the lower esophageal sphincter, transient lower esophageal sphincter relaxation, impaired expulsion of gastric reflux from the esophagus, or a hiatus hernia. If the reflux reaches the throat, it is called laryngopharyngeal reflux disease.

Pancreatitis
Pyloric Ulcers
Graft v. Host Disease
Lactose Intolerance
High Fructose Diets
Cholera

jaundice



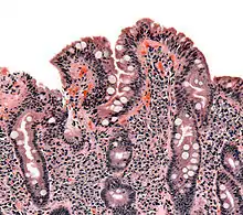
Coeliac Disease
