Negri body
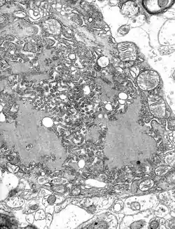
Negri bodies are eosinophilic, sharply outlined, pathognomonic inclusion bodies (2–10 μm in diameter) found in the cytoplasm of certain nerve cells containing the virus of rabies, especially in pyramidal cells[1] within Ammon's horn of the hippocampus. They are also often found in the Purkinje cells[1] of the cerebellar cortex from postmortem brain samples of rabies victims. They consist of ribonuclear proteins produced by the virus.[2]


They are named for Adelchi Negri.[3]
History and significance
Adelchi Negri, an assistant pathologist working in the laboratory of Camillo Golgi, observed these inclusions in rabbits and dogs with rabies. These findings were presented in 1903 at a meeting of the Società Medico-Chirurgica of Pavia. The American pathologist Anna Wessels Williams made the same discovery,[4] but because Negri published his results[5] first, the bodies bear his name.
Negri was convinced the inclusions were a parasitic protozoon and the etiologic agent of rabies. Later that same year, however, Paul Remlinger and Rifat-Bey Frasheri in Constantinople and, separately, Alfonso di Vestea in Naples showed that the etiologic agent of rabies is a filterable virus. Negri continued until 1909 to try to prove that the intraneuronal inclusions named after him corresponded to steps in the developmental cycle of a protozoan.
In spite of his incorrect etiologic hypothesis, Negri's discovery represented a breakthrough in the rapid diagnosis of rabies, and the detection of Negri bodies, using a method developed by Anna Wessels Williams, remained the primary way to detect rabies for the next thirty years.[6]
References
- Sketchy Group, LLC. "2.3 Rhabdovirus". www.sketchymedical.com. Archived from the original on 2017-04-13. Retrieved 2017-04-12.
- Lahaye, Xavier; Vidy, Aurore; Pomier, Carole; Obiang, Linda; Harper, Francis; Gaudin, Yves; Blondel, Danielle (15 August 2009). "Functional Characterization of Negri Bodies (NBs) in Rabies Virus-Infected Cells: Evidence that NBs Are Sites of Viral Transcription and Replication". Journal of Virology. 83 (16): 7948–7958. doi:10.1128/JVI.00554-09. ISSN 0022-538X. PMC 2715764. PMID 19494013.
- synd/2491 at Who Named It?
- "Changing the Face of Medicine". NCBI.
- Negri, Adelchi (1904). "Contributo allo studio dell'eziologia della rabbia". Bollettino della Società Medico-chirurgica di Pavia. 2: 88–115.
- Henry, Ronnie; Murphy, Frederick R. (2017). "Etymologia: Negri Bodies". Emerg Infect Dis. 23 (9): 1461. doi:10.3201/eid2309.ET2309. PMC 5572856.
citing public domain text from the CDC