polycythemia vera
English

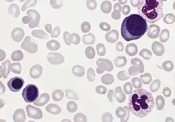
Wright-Giemsa stain of a blood smear from a PV-patient with myeloid metaplasia, showing three red blood cell precursors and slight to moderate anisopoikilocytosis
Alternative forms
- polycythaemia vera
Pronunciation
- IPA(key): /ˌpɒlɪsaɪˈθiːmɪə ˈvɪəɹə/
Noun
polycythemia vera (uncountable)
- A neoplasm of bone marrow in which too many red blood cells are produced, usually along with white blood cells and platelets.
Synonyms
- PV, PCV (initialisms)
- erythremia, primary polycythemia, polycythemia rubra vera (PRV)
- Vaquez disease, Osler-Vaquez disease
This article is issued from Wiktionary. The text is licensed under Creative Commons - Attribution - Sharealike. Additional terms may apply for the media files.